О нас
Нам важно, чтобы, выходя из кабинета, вы чувствовали облегчение и уверенность: ваша улыбка в надежных руках.
Адреса
Нальчик, улица Комарова, 62,
Соц.Сети
INSTAGRAM TELEGRAM WATSAPP SAIT
ОТЗЫВЫ
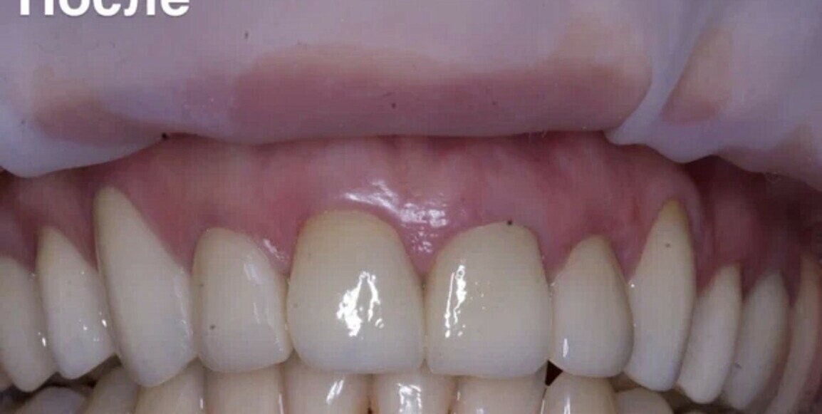
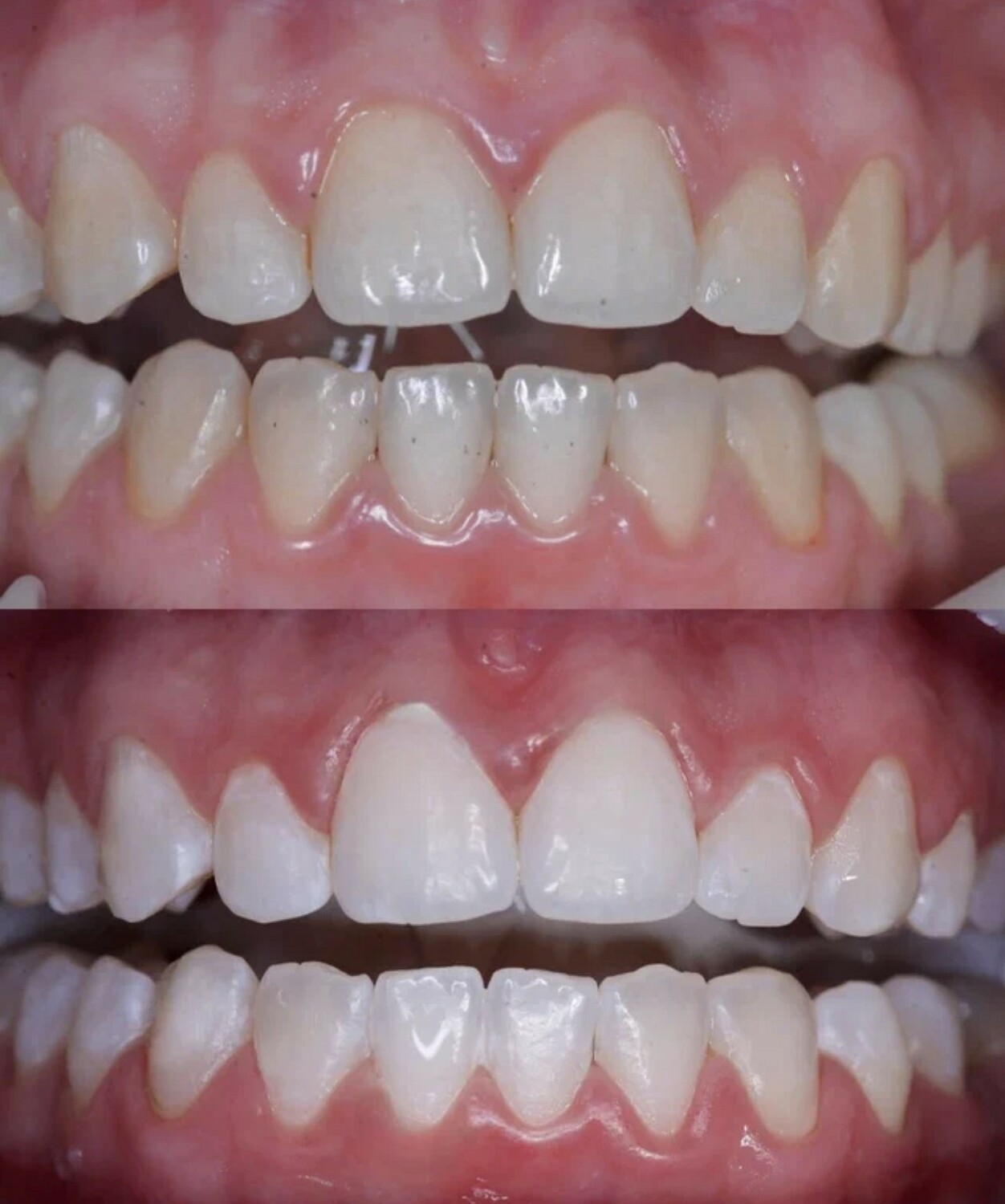
Что говорят наши клиенты
Сергей
Анна
Марина









